www.beyazdolgular.com

İçeriğe git

Ana Menü

Aralıklı Dişler

Kompozit Tedaviler

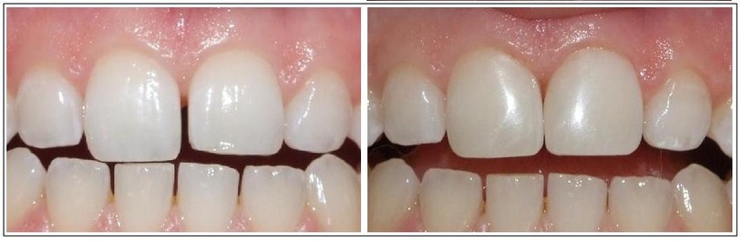
Çeşitli nedenlerle aralıklı kalmış dişler kompozitler ile yeniden boyutlandırılarak dişler arasındaki aralıklar kapatılabilir ve böylece  dişlerin birbirleriyle olan doğal ilişkileri ve görünümleri yeniden elde edilebilirler. Aşağıdaki ön ve arka bölgede kompozit çalışmalar ile kapatılmış aralıkların fotoğrafları bulunmaktadır.


*   



 

*








 
İçeriğe Geri Dön | Ana Menüye Geri Dön